
신종 감염병 국내 첫 발견
‘신종 감염병 국내 첫 발견’
국내에서 신종 감염병이 첫 발견돼 관심이 쏠리고 있다.
서울대병원 감염내과 오명돈 교수팀은 지난 5월에 처음으로 발견한 신종 감염병에 걸린 환자를 항생제 치료로 완치시켰다고 11일 알렸다.
진드기를 통해 전염되는 이 질환은 ‘살인진드기’ 병으로 알려진 중증열성혈소판감소증후군(SFTS)과 증상은 비슷하지만, 독시사이클린이라는 항생제로 치료가 가능하다는 점이 다르다.
지난해 5월 환자 박 모(57·여)씨는 강원도에서 진드기에 물린 후 발열, 구역, 혈압감소, 혈소판감소증이 발생했다. 이후 박 모 씨는 서울대 병원에 입원해 독시사이클린 치료를 받았고 1주일 만에 퇴원했다.
오 교수는 “신종 감염병은 국내에서 지난해부터 유행하는 SFTS와 증세가 비슷하나 초기에 독시사이클린으로 치료하면 완치할 수 있다는 점이 다르다”고 설명했다.
누리꾼들은 신종 감염병 국내 첫 발견 소식에 “신종 감염병 국내 첫 발견, 신종진드기와 비슷하네”, “신종 감염병 국내 첫 발견, 치료 가능해 다행”, “신종 감염병 국내 첫 발견, 무섭다” 등의 반응을 보였다.
동아닷컴 온라인뉴스팀 기사제보 star@donga.com
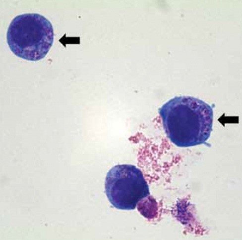
‘아나플라스마 감염증’ 현미경 확대 사진. 사진제공 | 서울대병원
Copyright © 스포츠동아. All rights reserved. 무단 전재, 재배포 및 AI학습 이용 금지
공유하기




![‘부상’ 아이들 민니, 갈비뼈 도드라져…가죽 브라보다 눈길 [DA★]](https://dimg.donga.com/a/232/174/95/1/wps/SPORTS/IMAGE/2025/12/17/132981624.1.jpg)


![키, ‘주사 이모’ 의혹 사과…모든 활동 중단에 방송가도 비상[SD이슈]](https://dimg.donga.com/a/232/174/95/1/wps/SPORTS/IMAGE/2025/12/17/132987207.1.jpg)









![‘이병헌♥’ 이민정 “씻기 전에…” 얼굴 상처 왜? [DA★]](https://dimg.donga.com/a/232/174/95/1/wps/SPORTS/IMAGE/2025/12/17/132981859.1.jpg)

![“후배 집에서…” 8년 불륜 관계, OOO에 덜미 (영업비밀)[TV종합]](https://dimg.donga.com/a/72/72/95/1/wps/SPORTS/IMAGE/2025/12/16/132973231.1.jpg)


![송혜교, 파격 숏컷…“두려울 게 없다” [화보]](https://dimg.donga.com/a/72/72/95/1/wps/SPORTS/IMAGE/2025/12/16/132973415.1.jpg)

![샤이니 키 ‘옷장털이범 리부트’도 업로드 중단 [공식입장]](https://dimg.donga.com/a/140/140/95/1/wps/SPORTS/IMAGE/2024/09/23/130079640.1.jpg)

![트와이스 사나, 속옷 시스루 ‘청순+섹시’ 반전 매력 [DA★]](https://dimg.donga.com/a/140/140/95/1/wps/SPORTS/IMAGE/2025/12/17/132983820.1.jpg)























![김남주 초호화 대저택 민낯 “쥐·바퀴벌레와 함께 살아” [종합]](https://dimg.donga.com/a/110/73/95/1/wps/SPORTS/IMAGE/2025/05/27/131690415.1.jpg)
![이정진 “사기 등 10억↑ 날려…건대 근처 전세 살아” (신랑수업)[TV종합]](https://dimg.donga.com/a/110/73/95/1/wps/SPORTS/IMAGE/2025/05/22/131661618.1.jpg)

댓글 0