
http://iwps.dongamedia.com/newsdesk/main.jsp#
신종 감염병 국내 첫 발견, ‘살인진드기’ 병과 비슷해…국내에서 처음으로 신종 감염병이 발견돼 눈길을 끌고 있다.
서울대병원 감염내과 오명돈 교수팀은 지난 5월에 처음으로 발견한 신종 감염병에 걸린 환자를 항생제 치료로 완치시켰다고 11일 밝혔다.
진드기로 인해 전염되는 이 질환은 ‘살인진드기’ 병으로 알려진 중증열성혈소판감소증후군(SFTS)과 증상은 비슷하지만, 독시사이클린이라는 항생제로 치료가 가능한 것으로 드러났다.
지난해 5월 환자 박 모(57·여)씨는 강원도에서 진드기에 물린 후 발열, 구역, 혈압감소, 혈소판감소증이 발생했다. 이후 박 모 씨는 서울대 병원에 입원해 독시사이클린 치료를 받았고 1주일 만에 퇴원했다.
오 교수는 “신종 감염병은 국내에서 지난해부터 유행하는 SFTS와 증세가 비슷하나 초기에 독시사이클린으로 치료하면 완치할 수 있다는 점이 다르다”고 설명했다.
누리꾼들은 “신종 감염병 국내 첫 발견, 조심해야지”, “신종 감염병 국내 첫 발견, 완치돼서 다행이네”, “신종 감염병 국내 첫 발견, 또 다른 증세는 없나?” 등의 반응을 보였다.
동아닷컴 온라인뉴스팀 기사제보 star@donga.com
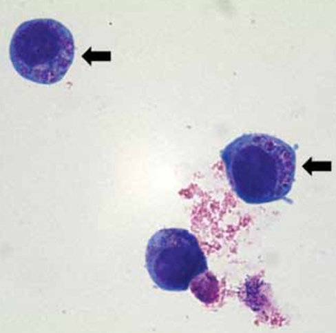
‘아나플라스마 감염증’ 현미경 확대 사진. 사진제공 | 서울대병원
Copyright © 스포츠동아. All rights reserved. 무단 전재, 재배포 및 AI학습 이용 금지
공유하기





![‘두쫀쿠’는 좋겠다, 장원영이 이렇게 사랑해줘서 [DA★]](https://dimg.donga.com/a/232/174/95/1/wps/SPORTS/IMAGE/2026/01/02/133080468.3.jpg)
![변요한, ♥티파니와 새해 맞이? 숟가락에 비친 ‘커플 실루엣’ [DA★]](https://dimg.donga.com/a/232/174/95/1/wps/SPORTS/IMAGE/2026/01/02/133080789.3.jpg)












![“깜짝이야” 효민, 상의 벗은 줄…착시 의상에 시선 집중 [DA★]](https://dimg.donga.com/a/72/72/95/1/wps/SPORTS/IMAGE/2025/12/30/133061528.3.jpg)
![몸집 키운 바이포엠, 김우빈♥신민아 소속사 인수 [공식]](https://dimg.donga.com/a/72/72/95/1/wps/SPORTS/IMAGE/2025/12/31/133070547.1.png)
![대체 왜 이래? SBS 연예대상, 지석진 향한 기만의 역사 (종합)[DA:이슈]](https://dimg.donga.com/a/72/72/95/1/wps/SPORTS/IMAGE/2025/12/31/133070320.3.jpg)




![이민정, 딸과 첫 해외여행서 응급 상황…“♥이병헌이 밤새 간호” [DA★]](https://dimg.donga.com/a/140/140/95/1/wps/SPORTS/IMAGE/2026/01/02/133081053.3.jpg)
![변요한, ♥티파니와 새해 맞이? 숟가락에 비친 ‘커플 실루엣’ [DA★]](https://dimg.donga.com/a/140/140/95/1/wps/SPORTS/IMAGE/2026/01/02/133080789.3.jpg)




![‘정다은♥’ 조우종 새 출발, 9년 인연 끝냈다 [공식]](https://dimg.donga.com/a/72/72/95/1/wps/SPORTS/IMAGE/2020/02/05/99554979.1.jpg)


















![김남주 초호화 대저택 민낯 “쥐·바퀴벌레와 함께 살아” [종합]](https://dimg.donga.com/a/110/73/95/1/wps/SPORTS/IMAGE/2025/05/27/131690415.1.jpg)
![이정진 “사기 등 10억↑ 날려…건대 근처 전세 살아” (신랑수업)[TV종합]](https://dimg.donga.com/a/110/73/95/1/wps/SPORTS/IMAGE/2025/05/22/131661618.1.jpg)

댓글 0