
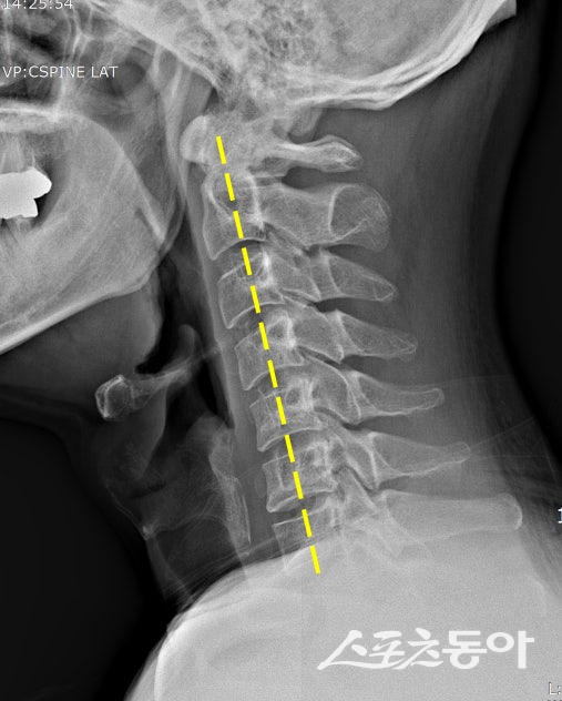
거북목 자세를 보이는 사람의 경추 X-레이. 스포츠동아DB
몸의 균형 무너지기 쉬운 방학철
간단한 교정 운동으로 예방 가능
방학은 학생들에게 쉼과 여유를 주는 소중한 시간이다. 하지만 이 시기에는 잘못된 자세로 스마트폰을 과도하게 사용하거나 평소 하던 체육 수업을 하지 못하면서 활동량이 줄어 몸의 균형이 무너지기 쉽다. 이런 생활이 반복되면 거북목, 라운드숄더 같은 문제가 나타날 수 있다. 무심코 보낸 방학이 건강에 작은 균열을 만들 수 있는 것이다.간단한 교정 운동으로 예방 가능
이런 문제를 해결하기 위해 반드시 헬스장에 갈 필요는 없다. 집에서도 쉽게 따라 할 수 있는 간단한 교정운동만으로도 충분하다. 하루 5분, 몸을 펴는 습관을 들이는 것만으로도 자세는 물론 집중력과 컨디션이 눈에 띄게 좋아질 수 있다.
가장 흔한 거북목은 목을 앞으로 내밀고 고개를 숙인 자세가 원인이다. 벽을 등지고 서서 뒤통수, 어깨, 엉덩이를 벽에 붙인 채 턱을 살짝 당기면 목의 정렬을 바로잡는 데 도움이 된다. 고개를 뒤로 젖혔다가 정면으로 되돌리는 동작을 10회 반복하는 것도 효과적이다.
라운드숄더는 어깨가 안쪽으로 말리면서 등이 굽는 자세다. 양손을 등 뒤에서 깍지 끼고 가슴을 활짝 펴거나 양팔을 옆으로 벌려 천천히 원을 그리듯 돌리는 스트레칭이 어깨 근육을 풀어준다. 이런 동작은 하루 2~3회만 해도 자세 교정에 긍정적인 영향을 줄 수 있다.
구미제일고 2학년 권이나 학생은 “방학 동안 거의 움직이지 않았는데, 스트레칭을 시작하고 나서 몸이 한결 가벼워졌다. 공부할 때도 자세가 무너지지 않아서 덜 피로하다”고 전했다. 처음엔 귀찮게 느껴지지만, 짧은 시간이라도 꾸준히 반복하면 몸의 변화를 느낄 수 있다는 것이다.
구미제일고 윤창훈 체육교사는 “학생들의 자세 문제는 단기간의 문제가 아니라 평소 습관에 따라 형성되기 때문에 단정 지을 수는 없다. 하지만 방학이 끝나고 개학하면 움직임이 둔해진 학생들이 많은 건 사실이다. 근육과 관절을 자주 움직이면 누적된 문제를 줄일 수 있다”고 말했다. 또한 “방학 중 학교 차원에서 운동 프로그램을 운영한다면 학생들의 체력 관리뿐 아니라 학업 스트레스 해소에도 도움이 될 수 있다”고 덧붙였다.
건강은 갑자기 무너지는 것이 아니라 사소한 습관에서 시작된다. 방학은 단순히 쉬는 시간에 그치지 않고 스스로를 가꾸는 시간으로 바뀔 수 있다. 지금 잠든 몸을 깨우고 자세를 바로잡는 작은 움직임을 시작해보는 건 어떨까.
문희빈 학생기자(구미제일고 2)
Copyright © 스포츠동아. All rights reserved. 무단 전재, 재배포 및 AI학습 이용 금지
공유하기










![조진웅 은퇴…“배우의 길 마침표” 불명예 퇴장 [종합]](https://dimg.donga.com/a/232/174/95/1/wps/SPORTS/IMAGE/2025/12/06/132913708.1.jpg)




![블랙핑크 리사, 뭘 입은 거야…파격 노출 착시 [DA★]](https://dimg.donga.com/a/232/174/95/1/wps/SPORTS/IMAGE/2025/12/05/132906328.1.jpg)

![조진웅, 은퇴 선언…“질책 겸허히 수용, 배우 마침표” [전문]](https://dimg.donga.com/a/232/174/95/1/wps/SPORTS/IMAGE/2025/12/06/132913653.1.jpg)





![올데프 애니, 끈 하나로 겨우 버텨…과감+세련 패션 [DA★]](https://dimg.donga.com/a/232/174/95/1/wps/SPORTS/IMAGE/2025/12/04/132899350.1.jpg)



![‘불법 의료 시술 의혹’ 박나래, 오늘(6일) ‘놀토’ 정상 방송 [공식]](https://dimg.donga.com/a/232/174/95/1/wps/SPORTS/IMAGE/2025/12/06/132913424.1.jpg)


![방탄소년단 정국-에스파 윈터 열애설, 커플 타투에 커플 네일?! (종합)[DA:이슈]](https://dimg.donga.com/a/72/72/95/1/wps/SPORTS/IMAGE/2025/12/05/132907619.1.jpg)

![조진웅, 소년범 전과 의혹에 “확인 후 입장 밝힐 것” [공식입장]](https://dimg.donga.com/a/72/72/95/1/wps/SPORTS/IMAGE/2025/12/05/132907713.1.jpg)


![유승옥, 확실한 애플힙+핫바디…베이글美 여전 [DA★]](https://dimg.donga.com/a/140/140/95/1/wps/SPORTS/IMAGE/2025/12/05/132909885.1.jpg)
![맹승지, 끈 끊어질까 걱정…넥타이 위치 아찔해 [DA★]](https://dimg.donga.com/a/140/140/95/1/wps/SPORTS/IMAGE/2025/12/05/132908504.1.jpg)



![[단독] K-심판들의 ‘눈엣가시’ 거스 포옛 사단, 끝내 전북 떠난다!…코리아컵 파이널이 고별전→“헌신한 포옛과 ‘인종차별자’ 오명 쓴 타노스에 두번째 트로피까지” 녹색군단, ‘더블’ 의지 활활](https://dimg.donga.com/a/72/72/95/1/wps/SPORTS/IMAGE/2025/11/25/132835766.1.jpg)



















![김남주 초호화 대저택 민낯 “쥐·바퀴벌레와 함께 살아” [종합]](https://dimg.donga.com/a/110/73/95/1/wps/SPORTS/IMAGE/2025/05/27/131690415.1.jpg)
![이정진 “사기 등 10억↑ 날려…건대 근처 전세 살아” (신랑수업)[TV종합]](https://dimg.donga.com/a/110/73/95/1/wps/SPORTS/IMAGE/2025/05/22/131661618.1.jpg)


댓글 0