중앙대광명병원(병원장 정용훈) 순환기내과 임홍의 교수와 조준환 교수는 국내 최초로 4D(4차원) 심장내 초음파(ICE)를 활용한 경피적 대동맥판막 삽입술(TAVI)을 성공했다.
이번 시술은 중앙대광명병원 심장뇌혈관병원이 주최한 국제심장혈관 시술 영상포럼(K-imaging 2025) 중 라이브 케이스로 진행했다. 세계 13개국의 순환기내과 중재시술 전문의들이 지켜보는 가운데, 경피적 대동맥판막 삽입술(TAVI)과 같은 고난도 중재시술에서 4D 심장내 초음파의 유용성과 안전성을 직접 시연했다.

경피적 대동맥판막 삽입술은 허벅지 동맥을 따라 심장판막까지 풍선을 진입시킨 뒤, 좁아진 판막 부위에서 풍선을 부풀려 그물망 형태의 인공판막 스텐트를 삽입해 기존 판막을 대체하는 시술이다. 고령의 중증 대동맥판막 협착증 환자에서 시행하며, 대동맥 및 혈관 손상, 혈전 유발로 인한 뇌졸중, 심전도 이상 등의 합병증 위험이 높아 심뇌혈관 중재시술 중에서도 가장 난이도가 높은 시술로 꼽힌다.
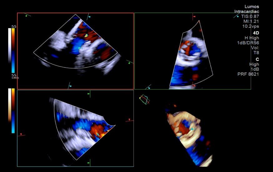
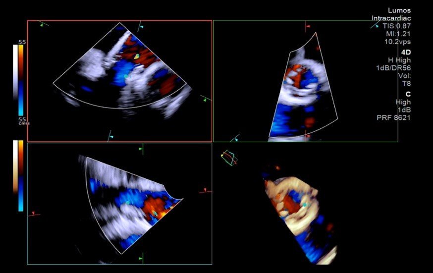
4D 심장내 초음파는 심장 내부의 구조를 실시간으로 정밀하게 보여주는 고해상도 영상 기술이다. 심장내 초음파 분야의 최고 권위자인 임홍의 교수는 “입체적 영상을 실시간으로 활용하면 시술자는 심장과 시술 장치의 구조를 보다 정확하게 파악할 수 있어, 시술의 효율성과 안전성을 최대로 높일 수 있다”며 “특히 정밀한 기술이 요구되는 경피적 대동맥판막 삽입술과 같은 고난도 시술에서 그 활용도가 더욱 기대된다”고 밝혔다
조준환 교수는 “이번 시술은 국내 심장중재시술 분야의 하나의 전환점이 될 수 있는 매우 중요한 증례”라며 “앞으로 경피적 대동맥판막 삽입술 뿐 만 아니라, 고난도의 심장 중재시술 전반에 걸쳐 적용 범위가 확대될 것으로 기대한다”고 말했다.
한편, 수도권 중증치료 거점병원인 중앙대광명병원은 심혈관 질환 치료 분야에서 두각을 나타내고 있다. 최근에는 국내 최초로 방사선제로 펄스장 절제술에 성공했으며, 국제 ‘방사선 제로 부정맥 시술 교육센터’로 선정됐다.
김재범 기자 oldfield@donga.com
이번 시술은 중앙대광명병원 심장뇌혈관병원이 주최한 국제심장혈관 시술 영상포럼(K-imaging 2025) 중 라이브 케이스로 진행했다. 세계 13개국의 순환기내과 중재시술 전문의들이 지켜보는 가운데, 경피적 대동맥판막 삽입술(TAVI)과 같은 고난도 중재시술에서 4D 심장내 초음파의 유용성과 안전성을 직접 시연했다.

4차원(4D) 심장내 초음파(intracardiac echocardiography, ICE) 영상 이미지 사진제공 |중앙대광명병원
경피적 대동맥판막 삽입술은 허벅지 동맥을 따라 심장판막까지 풍선을 진입시킨 뒤, 좁아진 판막 부위에서 풍선을 부풀려 그물망 형태의 인공판막 스텐트를 삽입해 기존 판막을 대체하는 시술이다. 고령의 중증 대동맥판막 협착증 환자에서 시행하며, 대동맥 및 혈관 손상, 혈전 유발로 인한 뇌졸중, 심전도 이상 등의 합병증 위험이 높아 심뇌혈관 중재시술 중에서도 가장 난이도가 높은 시술로 꼽힌다.
4D 심장내 초음파는 심장 내부의 구조를 실시간으로 정밀하게 보여주는 고해상도 영상 기술이다. 심장내 초음파 분야의 최고 권위자인 임홍의 교수는 “입체적 영상을 실시간으로 활용하면 시술자는 심장과 시술 장치의 구조를 보다 정확하게 파악할 수 있어, 시술의 효율성과 안전성을 최대로 높일 수 있다”며 “특히 정밀한 기술이 요구되는 경피적 대동맥판막 삽입술과 같은 고난도 시술에서 그 활용도가 더욱 기대된다”고 밝혔다
조준환 교수는 “이번 시술은 국내 심장중재시술 분야의 하나의 전환점이 될 수 있는 매우 중요한 증례”라며 “앞으로 경피적 대동맥판막 삽입술 뿐 만 아니라, 고난도의 심장 중재시술 전반에 걸쳐 적용 범위가 확대될 것으로 기대한다”고 말했다.
한편, 수도권 중증치료 거점병원인 중앙대광명병원은 심혈관 질환 치료 분야에서 두각을 나타내고 있다. 최근에는 국내 최초로 방사선제로 펄스장 절제술에 성공했으며, 국제 ‘방사선 제로 부정맥 시술 교육센터’로 선정됐다.
김재범 기자 oldfield@donga.com
Copyright © 스포츠동아. All rights reserved. 무단 전재, 재배포 및 AI학습 이용 금지
공유하기











![조진웅 은퇴…“배우의 길 마침표” 불명예 퇴장 [종합]](https://dimg.donga.com/a/232/174/95/1/wps/SPORTS/IMAGE/2025/12/06/132913708.1.jpg)





![올데프 애니, 끈 하나로 겨우 버텨…과감+세련 패션 [DA★]](https://dimg.donga.com/a/232/174/95/1/wps/SPORTS/IMAGE/2025/12/04/132899350.1.jpg)


![블랙핑크 리사, 뭘 입은 거야…파격 노출 착시 [DA★]](https://dimg.donga.com/a/232/174/95/1/wps/SPORTS/IMAGE/2025/12/05/132906328.1.jpg)
![‘불법 의료 시술 의혹’ 박나래, 오늘(6일) ‘놀토’ 정상 방송 [공식]](https://dimg.donga.com/a/232/174/95/1/wps/SPORTS/IMAGE/2025/12/06/132913424.1.jpg)

![조진웅, 은퇴 선언…“질책 겸허히 수용, 배우 마침표” [전문]](https://dimg.donga.com/a/232/174/95/1/wps/SPORTS/IMAGE/2025/12/06/132913653.1.jpg)









![유승옥, 확실한 애플힙+핫바디…베이글美 여전 [DA★]](https://dimg.donga.com/a/72/72/95/1/wps/SPORTS/IMAGE/2025/12/05/132909885.1.jpg)

![유승옥, 확실한 애플힙+핫바디…베이글美 여전 [DA★]](https://dimg.donga.com/a/140/140/95/1/wps/SPORTS/IMAGE/2025/12/05/132909885.1.jpg)
![맹승지, 끈 끊어질까 걱정…넥타이 위치 아찔해 [DA★]](https://dimg.donga.com/a/140/140/95/1/wps/SPORTS/IMAGE/2025/12/05/132908504.1.jpg)



![전현무, 결별 심경 “광고 찍기 전날 헤어져” (전현무계획3)[TV종합]](https://dimg.donga.com/a/72/72/95/1/wps/SPORTS/IMAGE/2025/12/06/132913069.1.jpg)


















![김남주 초호화 대저택 민낯 “쥐·바퀴벌레와 함께 살아” [종합]](https://dimg.donga.com/a/110/73/95/1/wps/SPORTS/IMAGE/2025/05/27/131690415.1.jpg)
![이정진 “사기 등 10억↑ 날려…건대 근처 전세 살아” (신랑수업)[TV종합]](https://dimg.donga.com/a/110/73/95/1/wps/SPORTS/IMAGE/2025/05/22/131661618.1.jpg)


댓글 0