
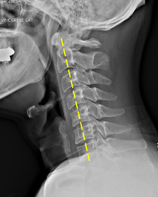
거북목 혹은 일자목 증후군은 C자 형의 커브 형태를 유지하고 있어야 할 목뼈가 일자 형태로 변형된 것을 말한다. 일자로 변형된 목은 충격 완화 능력이 떨어져 쉽게 충격을 받거나 목디스크와 같은 퇴행성질환으로 발전할 가능성도 높아진다.
일자목은 주로 컴퓨터, 스마트폰 사용자의 잘못된 자세에서 비롯되는 경우가 많은데, 긴장을 하거나 고정된 자세로 오랜 시간 작업을 하거나 휴식 없이 무리하게 컴퓨터를 사용했을 때 주로 나타난다. 또한 모니터의 위치가 눈높이보다 너무 높거나 낮은 경우, 마우스 조작 시 팔의 각도가 맞지 않거나 키보드의 방향이나 높이가 적정하지 않은 경우도 원인이 될 수 있다.
● 일자목 방치하면 목디스크 까지 불러올 수 있어
일자목의 증상은 대게 근육 뭉침과 통증으로 나타나는데, 목과 어깨가 뻣뻣하고 결리며 두통, 어지럼증, 안구충혈과 같은 증상이 생기는 것이 일반적인 증상이다.
일자목을 방치하여 이미 목 디스크로 발전되었다면 만성 목통증 뿐 만 아니라, 팔저림, 손가락 마비 증상으로 나타난다. 여기서 더욱 악화될 경우 등 통증, 하반신 마비 등 2차적 피해가 발생할 수 있다. 따라서 목디스크에 있어 가장 중요한 것은 조기치료라고 할 수 있다.
만약 목디스크의 증상이 크지 않다면 비수술적 치료법을 우선적으로 적용시켜 볼 수 있다. 목디스크를 비롯한 디스크 질환의 경우 초기 증상일 때 부담이 적은 비수술치료법 만으로도 증상 호전에 좋은 효과를 볼 수 있기 때문이다.
●척추·관절 질환, 비수술치료법 ‘경막외신경성형술’로 치료한다
목디스크 환자들은 치료의 방법으로 수술을 떠올리는 경우가 많다. 하지만 척추질환이라고 해 무조건적으로 수술을 받아야 하는 것은 아니다. 실제로도 수술이 필요한 디스크질환은 10건 가운데 1~2건 정도로 대부분이 수술 없이도 치료가 가능한 경우가 많기 때문이다.
강남베드로병원(양재역 4번출구 위치)에서 시행중인 경막외신경성형술은 전신마취가 필요 없이 부분 마취상태에서 미세절개 통해 지름 2mm 크기의 특수 카테터를 삽입해 치료가 진행된다. 이렇게 삽입된 주사바늘이 통증을 유발하는 원인을 깨끗하게 제거하기 때문에 증상 완화에 극적인 효과를 기대해볼 수 있다.
이러한 치료는 단순히 목디스크 뿐 아니라 일자목과 같은 척추 질환이 있는 환자들에게도 효과적인 방법이 될 수 있다. 또 앞서 말했듯이 30분 내의 짧은 시술시간만으로 진행되며 당일 퇴원 또한 가능하기 때문에 시간적 여유가 적은 환자들도 편리하게 받아볼 수 있는 치료법이다.
일자목, 목디스크와 같은 척추질환은 이 같은 간단한 방법 만으로도 치료가 가능하지만 치료보다도 더 중요한 것은 평소 옳바른 생활습관과 자세를 통한 예방이다. 컴퓨터 작업을 할 때는 바른 자세를 유지하고 모니터를 눈높이에 맞추어 조절한다. 또한 마우스를 사용할 때도 양손을 책상에 올려 작업하고 컴퓨터 작업 중간 중간 스트레칭하는 것이 목디스크를 예방하는 좋은 습관이라 할 수 있겠다.
강남베드로병원 신경외과 윤강준 원장
연제호 기자 sol@donga.com
Copyright © 스포츠동아. All rights reserved. 무단 전재, 재배포 및 AI학습 이용 금지
공유하기
![손예진·현빈이 반한 그 고기, 천겹살을 집에서 굽는 법[SD랩]](https://dimg.donga.com/a/232/174/95/1/wps/SPORTS/IMAGE/2025/12/28/133050269.1.jpg)


![모모랜드 주이, 침대 위 산타걸…한층 성숙해진 분위기 [DA★]](https://dimg.donga.com/a/232/174/95/1/wps/SPORTS/IMAGE/2025/12/28/133050989.1.jpg)

![아이들 민니, 멤버도 놀란 비키니 사진…압도적인 자태 [DA★]](https://dimg.donga.com/a/232/174/95/1/wps/SPORTS/IMAGE/2025/12/28/133051172.1.jpg)

![원진서 아찔 비키니 후끈…♥윤정수 사로잡았네 [DA★]](https://dimg.donga.com/a/232/174/95/1/wps/SPORTS/IMAGE/2025/12/29/133052286.1.jpg)
![‘쌍둥이맘’ 한그루, 달라진 얼굴…살 빠졌나? 리즈 경신 [DA★]](https://dimg.donga.com/a/232/174/95/1/wps/SPORTS/IMAGE/2025/12/28/133051086.1.jpg)







![키오프 나띠, 남다른 건강美…탄탄한 S라인 부러워 [DA★]](https://dimg.donga.com/a/232/174/95/1/wps/SPORTS/IMAGE/2025/12/28/133050571.1.jpg)
![다니엘만 정리한 어도어…“이탈·복귀 지연 책임” 가족·민희진 법적 대응[SD이슈]](https://dimg.donga.com/a/232/174/95/1/wps/SPORTS/IMAGE/2025/12/29/133055146.1.jpg)


![김희정, 운동복 자태도 남달라…건강미 넘치는 바디 [DA★]](https://dimg.donga.com/a/72/72/95/1/wps/SPORTS/IMAGE/2025/12/26/133045716.1.jpg)





![원진서 아찔 비키니 후끈…♥윤정수 사로잡았네 [DA★]](https://dimg.donga.com/a/140/140/95/1/wps/SPORTS/IMAGE/2025/12/29/133052286.1.jpg)
![아이들 민니, 멤버도 놀란 비키니 사진…압도적인 자태 [DA★]](https://dimg.donga.com/a/140/140/95/1/wps/SPORTS/IMAGE/2025/12/28/133051172.1.jpg)

![원진서 아찔 비키니 후끈…♥윤정수 사로잡았네 [DA★]](https://dimg.donga.com/a/72/72/95/1/wps/SPORTS/IMAGE/2025/12/29/133052286.1.jpg)
![전현무, 여친들 지퍼 내리고 올렸네 “뒤태 올릴 떄 더 보여” (독사과2)[TV종합]](https://dimg.donga.com/a/72/72/95/1/wps/SPORTS/IMAGE/2025/12/29/133052676.1.jpg)



















![김남주 초호화 대저택 민낯 “쥐·바퀴벌레와 함께 살아” [종합]](https://dimg.donga.com/a/110/73/95/1/wps/SPORTS/IMAGE/2025/05/27/131690415.1.jpg)
![이정진 “사기 등 10억↑ 날려…건대 근처 전세 살아” (신랑수업)[TV종합]](https://dimg.donga.com/a/110/73/95/1/wps/SPORTS/IMAGE/2025/05/22/131661618.1.jpg)

댓글 0